Wicker Park Dentist

Dental Smile Gallery: Real Smile Transformations from Our Wicker Park Dental Practice

COMPREHENSIVE & ADVANCED TREATMENT

Our comprehensive restorative treatments address severe wear, damage, and discoloration, providing natural-looking results that restore both function and confidence.

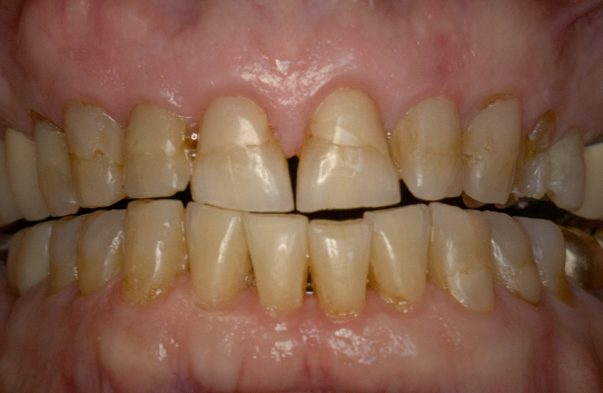
Before
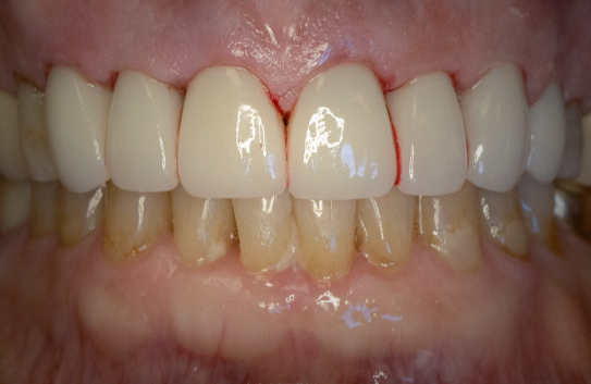
After
Treatment

This patient underwent comprehensive restorative treatment, including crowns and veneers, to address severe wear, discoloration, and misalignment. The result is a healthier, functional, and natural-looking smile.

Before
After
Treatment

This patient presented with significant tooth wear, discoloration, and misalignment. The treatment plan included custom dental crowns and restorative care to rebuild structure, improve aesthetics, and restore function. After treatment, the patient achieved a healthier, more confident smile.

Before
After
Treatment

The patient presented with significant tooth wear, misalignment, and structural damage. A comprehensive treatment plan was developed, including custom restorations to rebuild tooth structure, correct alignment, and restore function. The result is a healthier, more balanced smile with improved aesthetics and function.

PATIENT TESTIMONIALS

REQUEST AN APPOINTMENT TODAY